• 心衰查因:竟是心肌致密化不全!
    0

    心衰查因:竟是心肌致密化不全!

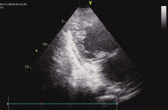
    图1 腹部增强CT提示多发脾梗死图2 超声心动图心尖长轴切面显示左室下壁心尖部多量肌小梁及小梁隐窝 【病例摘要】患者,男性,18岁
    13
  • 褥疮发生的原因
    0

    褥疮发生的原因

    褥疮的发生有很多的原因,大家在日常生活中一定要多注意。下面为您介绍褥疮发生的原因。褥疮发生的原因1.局部长期受压,经久不改变体位,
    19
  • 软肝汤
    0

    软肝汤

    名医名方张杰张杰,男,出生于1946年9月。安徽中医学院主任中医师,第三批全国老中医药专家学术经验继承工作指导老师,安徽省名中医。
    9
  • 对黄色瘤的常用的诊断方法
    0

    对黄色瘤的常用的诊断方法

    对黄色瘤的诊断一般都比较的简单,一般可以根据患者的皮肤损害的特点,如颜色分布、形状等,比较容易进行诊断。但是对于该病还是要了解其基
    13
  • 2011年研发投入最大的15家生物技术公司
    0

    2011年研发投入最大的15家生物技术公司

    如果你统计下全球生物技术上市公司的研发预算,就会发现,把研发预算最高的15家公司经费相加,总额大概为100亿美元。不论怎么说,这都
    12
  • 预防肝腹水反复发作 饮食方法很重要
    0

    预防肝腹水反复发作 饮食方法很重要

    如何预防肝腹水反复发作?肝腹水的饮食很重要,注意饮食中蛋白质的含量,要合理进食。患者休息每日要保证8小时以上的睡眠时间。肝腹水患者
    10
  • 转氨酶升高也可能是肌肉病 基因治疗带来新希望
    0

    转氨酶升高也可能是肌肉病 基因治疗带来新希望

    转氨酶被认为是检查肝细胞损害的灵敏指标,其实它也广泛存在于肌肉组织中,是肌肉疾病的发病警报如果孩子转氨酶升高,但没有任何肝功能异常
    10
  • 探索传说中的食物“男人帮”
    0

    探索传说中的食物“男人帮”

    导语:身体是革命的本钱,男人作为家庭与社会的主力,应该要更关注自己的健康。下面是男性健康必不可少的几种食物,据说它们是传说中的食物
    20
  • 华兰生物血浆站扩张能力强 分析称投资价值已现
    0

    华兰生物血浆站扩张能力强 分析称投资价值已现

    受前期贵州省关停浆站影响,血液制品行业成为市场关注的焦点。近期长江证券调研了华兰生物(002007,收盘价27.5元),了解经历贵
    5
  • 杭州市局积极部署高温季节药品市场监管工作
    0

    杭州市局积极部署高温季节药品市场监管工作

    杭州市局积极部署高温季节药品市场监管工作发布部门:办公室发布时间:2010-08-06来源:浙江省食品药品监督管理局目前已进入高温
    10
  • 海盐局“四个僵化”加强低温冷藏药品质量管理
    0

    海盐局“四个僵化”加强低温冷藏药品质量管理

    海盐局“四个僵化”加强低温冷藏药品质量管理发布部门:办公室发布时间:2010-08-06来源:浙江省食品药品监督管理局随着盛夏的来
    7
  • 核桃健脑虾皮增记忆 9种食物孩子越吃越聪明
    0

    核桃健脑虾皮增记忆 9种食物孩子越吃越聪明

    谁不想自家的孩子聪明又伶俐?都怕孩子因为疾病“坏了脑子”变“弱智”,拼命给孩子吃补脑营养品。其实,想要孩子聪明,无需吃什么营养品,
    8
  • 小肠检查:术中内镜适合基层
    0

    小肠检查:术中内镜适合基层

    【受访专家】 南方医科大学南方医院普外科教授 吴承堂近日,第三次广东省肠外肠内营养学术会议暨2011南方国际肠外肠内营养论坛在广州
    14
  • 四问肿瘤营养
    0

    四问肿瘤营养

    【受访专家】中山大学附属第一医院血管甲状腺外科教授 石汉平问题1:肿瘤患者是否应进行营养支持?现在肿瘤患者是否进行营养支持或者营养
    13
  • 北京大学第三医院药剂科举办国际用药安全学术论坛
    0

    北京大学第三医院药剂科举办国际用药安全学术论坛

    健康报网讯 (张晓乐)由中国药学会医院药学专业委员会主办、北京大学第三医院药剂科发起并承办的第二届国际用药安全学术论坛于11月6日
    10
  • 预防呼吸衰竭“四步走”
    0

    预防呼吸衰竭“四步走”

    呼吸衰竭是由于肺部疾病引起的,预防呼吸衰竭要从肺部疾病的治疗开始,很多人只知道患病后去治疗,却不知道如何在早期进行预防,的专家教你
    15
  • 酒精肝养生:4类食物护肝解酒效果好
    0

    酒精肝养生:4类食物护肝解酒效果好

    中国有句俗话:无酒不成席,朋友小聚、会客宴会不管什么,只要吃饭都少不了酒,所以说酒精肝近年发病率飙升不是没有道理的。既然喝酒不能避
    10
  • CKD患者不宜使用膳食补充剂
    0

    CKD患者不宜使用膳食补充剂

    讯膳食补充剂对于患者来说,一直扮演着重要的角色,但是,对于患有慢性肾病(CKD)的人来说,则可能并非那样适用了。据第44届美国肾脏
    25
  • 患者家属质疑医生私卖药品 卫生局称不知情
    0

    患者家属质疑医生私卖药品 卫生局称不知情

    今年3月初,家住琼海市博鳌镇的58岁男子王奕振因患直肠癌,到琼海市人民医院治疗。在该院普外科主任宋某鸿的“推荐”下,购买了某进口品
    14
  • 阿司匹林在限制中前行
    0

    阿司匹林在限制中前行

    心血管病一级预防:在动脉粥样硬化发生、发展过程中,血小板活化及其活性物质的释放,促进了血管内皮损伤、加重粥样斑块的炎症反应、促使斑
    4
  • 白蛋白(提供信息)

    70  0

    热门评论

    会员最新动态

    精选图文信息